COVID19


Please, cite as:
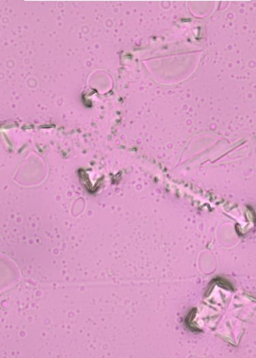
Campra, P. MICROSTRUCTURES IN COVID VACCINES: ¿inorganic crystals or Wireless Nanosensors Network?.
RESEARCHGATE presentation, November 2021.
- AUTHOR: Pablo Campra, PhD. Almería, Spain
- CONTACT: pcampra@ual.es
©Dr. Campra 2021
https://www.researchgate.net/publication/356507702_MICROSTRUCTURES_IN_COVID_VACCINES_inorganic_crystals_or_Wireless_Nanosensors_Network






























Surg Neurol Int. 2024 Nov 29;15:439. doi: 10.25259/SNI_731_2024
https://pdfs.semanticscholar.org/2f1c/78ff192285b4664cb3a5a2490182f8d13c21.pdf?_gl=1*7jvymg*_gcl_au*NTUxMjgzOTgxLjE3NzI1NTgxMTc.*_ga*OTYzOTU3NTkyLjE3NzI1NTgxMTc.*_ga_H7P4ZT52H5*czE3NzI2MDIyODMkbzIkZzAkdDE3NzI2MDIyODMkajYwJGwwJGgw
Microwave radiofrequencies, 5G, 6G, graphene nanomaterials: Technologies used in neurological warfare
Fabien Deruelle 1,*
PMCID: PMC11618680 PMID: 39640342
Abstract
Background:
Scientific literature, with no conflicts of interest, shows that even below the limits defined by the International Commission on Non-Ionizing Radiation Protection, microwaves from telecommunication technologies cause numerous health effects: neurological, oxidative stress, carcinogenicity, deoxyribonucleic acid and immune system damage, electro-hypersensitivity. The majority of these biological effects of non-thermal microwave radiation have been known since the 1970s.
Results:
(1) Since their emergence, the authorities have deployed and encouraged the use of wireless technologies (2G, 3G, 4G, WiFi, WiMAX, DECT, Bluetooth, cell phone towers/masts/base stations, small cells, etc.) in full awareness of their harmful effects on health. (2) Consequences of microwave radiation from communication networks are comparable to the effects of low-power directed-energy microwave weapons, whose objectives include behavioral modification through neurological (brain) targeting. Above 20 gigahertz, 5G behaves like an unconventional chemical weapon. (3) Biomedical engineering (via graphene-based nanomaterials) will enable brain-computer connections, linked wirelessly to the Internet of Everything through 5G and 6G networks (2030) and artificial intelligence, gradually leading to human-machine fusion (cyborg) before the 2050s.
Conclusion:
Despite reports and statements from the authorities presenting the constant deployment of new wireless communication technologies, as well as medical research into nanomaterials, as society’s ideal future, in-depth research into these scientific fields shows, above all, an objective linked to the current cognitive war. It could be hypothesized that, in the future, this aim will correspond to the control of humanity by machines.
https://pmc.ncbi.nlm.nih.gov/articles/PMC11618680/

True or False? At Least 55 Undeclared Chemical Elements Have Been Detected by ICP-MS in COVID-19 “Vaccines”
Abstract
Claims of “major flaws” in Diblasi et al. 2024, the article appearing in this journal immediately before this commentary, were published in The Defender after Mike Adams, in his own words, “leveled harsh criticism against Children’s Health Defense”. Those complaints were more directly against this journal and its editors because we reviewed and published that work. Adams said that some values reported were tinier than any detectable by the Agilent 7500cx instrument. From a typo, “µ” for “m” he inferred incompetence and fraudulent intent by the Diblasi team, and said the IJVTPR editors were “duped”. Consequently, we have re-examined the work from raw data to its individual tabled values, every one of them. That flagrant keystroke error was purged with others, but the conclusion stands: the COVID-19 injectables contain at least 55 undeclared chemical elements including so-called “rare earth” metals and 12 of the 15 lanthanides. The likelihood that such elements are not involved in self-assembling entities in the fluids and in the unnatural clots in many recipients is zero. Ongoing gain-of-function bioweapons research together with published agendas for population reduction and control suggest that military-grade nanotechnologies are at play in the world-wide COVID-19 experiment.
https://mail.ijvtpr.com/index.php/IJVTPR/article/view/114




SHOCK! MORE EMBALMERS ADMIT "We've NEVER seen these before and it's not stopping" | Redacted

Are we facing a new disease? - New pathology found in dead bodies around the world
"What's happened in 2019 that hasn't happened before? We can't say it outloud. (We get attacked)
Died Suddenly is a 2022 American anti-vaccination film directed by Matthew Skow and executive-produced by Stew Peters, a far-right and alt-right anti-vaccine activist. The film was released on Rumble and Twitter on November 21, 2022.
In late 2021, videos spread on Facebook and Instagram that claimed 62% of those who receive the mRNA vaccine develop blood clots, and that Pfizer's vaccine creates clots "in a minute or two". The claim originates from Dr. Charles Hoffe, who has made other claims about COVID-19 vaccines, such as claiming that they are "clearly more dangerous" than the disease itself. While studies have found possible causal links between the AstraZeneca and Janssen COVID-19 vaccines and a rare clotting disorder known as thrombosis with thrombocytopenia syndrome (TTS).
Stew Peters is an American far-right media personality who referred to the vaccine as a "bio-weapon", claimed that the COVID-19 vaccines are responsible for the deaths of people, and has called for "the people in our government responsible" to be "put on trial and executed". He has been banned from Spotify for his claims. Peters has previously produced the anti-vaccine film Watch the Water, which purports that COVID-19 vaccines are derived from snake venom in order to transform people into "a hybrid of Satan".
The film was released on Rumble and Twitter on November 21, 2022. Within hours of the film's premiere, it went viral on social media, garnering over 7 million views and over 30,000 retweets within a day. It was shared by individuals such as former U.S. congressional candidate DeAnna Lorraine, websites such as LifeSiteNews, and conspiracy groups. By November 23, it had been viewed over 4 million times on Rumble and 1.5 million times on Twitter. By January 2023, it had been viewed almost 20 million times. It was promoted by Marjorie Taylor Greene and Candace Owens.
Some Embalmers Say White, Fibrous Clots Showing Up; Others Say It’s A Conspiracy Theory
October 9, 2023 Mariel Alumit Zero Edge
Authored by Allan Stein via The Epoch Times
Embalming a body involves replacing the blood with chemical solutions to preserve it and slow decomposition. Some embalmers say that starting in 2021, they suddenly began seeing an “anomaly” during that process–a phenomenon of long, rubbery, white masses inside the blood vessels. Others say they have seen nothing new. The Epoch Times contacted embalmers and funeral directors from around the world to understand the disparity.
An Oklahoma mortician responded, saying, “Yes, the embalmers at this funeral location have all encountered this phenomenon, each multiple times during embalming in the last two years.” A funeral director in Pennsylvania told The Epoch Times: “We’ve seen this stuff–absolutely. We’ve seen it enough to discuss it within the company.” The mortician said his company thought the white, fibrous clots were just an anomaly. “What do I attribute it to? I don’t know. I’ve never seen anything like it previously,” he said. “As far as numbers, it’s hard to say. When we first started noticing it in 2021, it was like, ‘Oh, wow, I wonder if their cholesterol was off the charts.’
On the other hand, many of the respondents to The Epoch Times’ survey said that not only had they not seen the fibrous masses in the bodies they embalmed, but they considered the reports from other embalmers and funeral directors to be “nonsense.” “It’s all nonsense, COVID vaccine conspiracy-theory [expletive],” a Canadian embalmer told The Epoch Times in an email. “We embalm over 400 bodies yearly and have never seen [this].”
Several respondents from Canada, Australia, and the UK said they haven’t seen any of the white, fibrous clots, with one calling it “ridiculous claptrap.”
However, responses from 11 embalmers in the United States, Canada, and New Zealand tell a similar story of white fibrin masses clogging the circulatory systems of the newly deceased since 2021. Some speculate that the obstructions have something to do with COVID-19 or the COVID-19 vaccines, although no research exists to substantiate such a connection.
Dr. Ryan Cole, an Idaho pathologist who said he’s conducted “a lot” of autopsies in his career, said normal post-mortem blood clots are red and jelly-like. “They’re not white and rubbery,” he said in a 2022 interview on “American Thought Leaders.” Dr. Cole attributes the absence of public dialogue within the medical community regarding the clots to “institutional fear.”
Grassroots Survey
When retired U.S. Air Force Maj. Thomas Haviland began hearing about the strange phenomenon in various media, he conducted his own international email survey this year of funeral homes. Mr. Haviland sent questionnaires via Survey Monkey to funeral homes in the United States, Canada, Australia, New Zealand, and the UK. Of the 179 active embalmers who responded to the survey, 119 confirmed having seen the clots. Mr. Haviland said that he designed the survey to be as unbiased as possible. Nowhere in the survey instructions nor in the survey questions are the words “Covid” or “Covid vaccines” ever mentioned.
Mr. Haviland said he only asked the embalmers if they saw the white fibrous clots, when they saw them, where on the body, and in what percentage of the bodies they embalmed. Despite the fact that the survey never mentions the COVID vaccines, many of the 42 U.S. embalmers and 12 Canadian embalmers who responded to an optional “Comments” box at the end of the survey either implicated the COVID vaccines as the cause of the white fibrous clots, or they defended the vaccines while denying the existence of these unusual clots.
“The main consensus of embalmers is that these white, fibrous clots first appeared in the year 2021 and continue still to date. Embalmers see these clots in a significant percentage of corpses–up to 50 percent or more in some cases,” Mr. Haviland said.
The Epoch Times independently contacted the 1,700 embalmers and funeral directors surveyed by Mr. Haviland to corroborate the findings. Nine responded, saying they’ve encountered the white, fibrous masses, and five responded saying they haven’t.
Embalmers Responses
Canadian embalmer Laura Jeffrey thought it bizarre to be pulling long, rubbery, white masses from the veins and arteries of the deceased at the beginning of 2021. “I knew from the get-go something was wrong,” Mrs. Jeffrey said. In one case, she found a white, stringy mass literally “hanging out” of a deceased woman’s artery–“like eight inches long–all branched,” she told The Epoch Times. “You could see the pathologist’s cut in it. So you can’t tell me it wasn’t there when they did the autopsy. I had to pull it out as the embalmer.”
Mrs. Jeffrey said her job became increasingly tricky trying to work around the obstructions. She decided to consult with her colleagues, but came up against an inexplicable “code of silence.”
More than 8,000 miles away from Mrs. Jeffrey’s home in Ontario, a New Zealand embalmer confirmed similar findings. “For obvious reasons, I am most reluctant for my colleagues to know I am responding,” the embalmer said, on condition of anonymity, in an email to The Epoch Times. “My workplace feels this is a conspiracy theory and is unwilling to engage in conversation. To say I was shut down when I tried to bring it up is an understatement.”
A funeral director in Colorado told The Epoch Times: “We are finding these white, fibrous blood clots in decedents of all ages. “For example, one case was autopsied in their late 20s. The death was not related to clots (no family history), and this person was healthy and took care of themselves. I found two large white clumps in their lower arteries. These should not have been there, especially with the manner of death.”
The funeral director said before the embalming process, they’ve begun asking if the person had been vaccinated and boosted. “Depending on the case, we are not finding these clots in non-vaccinated decedents, just normal blood clots and good drainage,” the director said. “For the vaccinated ones, we are finding larger clots that are changing the consistency of the blood itself. We have never seen so much stringy blood before that really disrupts the drainage.”
The embalmer at New Zealand funeral home who was among the survey recipients and who reached out to The Epoch Times described how six months into his training, he saw his first “fibrin clot.”
The supervisor he had at the time said she “didn’t know what it was.” “She has been an embalmer for about 20 years. I then asked my manager, who is also an embalmer, and he said he had seen them prior to COVID, and there was no link,” the embalmer said. Since the first discovery, he says he still sees the strange white masses “fairly regularly–in various sizes, with and without the fatty clots, and normal red blood clots.” “I am not privy to the vaccination status of the deceased or their recent health issues beyond [the] cause of death, so I cannot say if there is a link between a recent COVID infection or vaccination,” the embalmer said. He said he tried to discuss his findings with other colleagues–not to “stir up trouble,” but to learn what they were looking at. However, “just like with any other unusual presentation on my table … there is a definable ‘don’t ask, don’t tell’ feeling around the topic,” he said.
https://energynewsbeat.co/some-embalmers-say-white-fibrous-clots-showing-up-others-say-its-a-conspiracy-theory/?noamp=mobile

yloid Clots Found in EVERY SINGLE PERSON: Brand New Study

Dad who suffered brain injury days after getting COVID vaccine sues AstraZeneca blood clot
11Alive News: The Take | Widow speaks out on long-delayed COVID injury claims (6/17/25) blod clot

Angelica Black's Vaccine Injury

Doctors warn lung damage from COVID-19 may be permanent
This is the most shocking testimony from nurse I’ve seen

Paralyzed after 2nd COVID shot

Doctors warn lung damage from COVID-19 may be permanent-Guillain-Barre syndrome

Covid Vaccine Side Effects: Dimple's Nerve Injury And Restless Legs Explained

Study: COVID Vaccine Associated with Alzheimer Disease | Ask Dr. David

Study reveals AstraZeneca and Pfizer vaccines linked to rare neurological side effects
Study reveals AstraZeneca and Pfizer vaccines linked to rare neurological side effects

Soldier seriously injured from COVID vax: 'I contemplated suicide' | Cuomo



Teen suffers seizures, extremely rare brain clots after Johnson & Johnson vaccine


The Reveal | COVID-19 vaccine injury, DOL unemployment delays, Novavax, and antibodies Ep. 83
Dr Tenpenny : Fully vaccinated could have full blown AIDS by the end of 2022 ~Jim











How The Coronavirus Attacks Your Lungs | Deep Look

How COVID-19 Affects Your Lungs
Join us in advocating against the misuse of technology.
contact@targetedhumans.org
© 2025. All rights reserved.


Targeted Humans Inc.






















